Quy trình niềng răng thưa khắc phục nhược điểm giữa những chiếc răng có kẽ hở gây mất thẩm mỹ. Hơn thế, răng thưa làm quá trình ăn uống diễn ra thiếu tự nhiên. Thông qua kỹ thuật niềng răng thưa, mọi vấn đề trên được giải quyết, đồng thời bạn sẽ được sở hữu một khuôn hàm đều đặn, đầy tự tin.
Niềng răng thưa có ưu điểm gì?
Niềng răng thưa là quá trình dùng mắc cài cố định trên răng, tác dụng lên dây cung bằng lực nhẹ nhàng để tiến hành dịch chuyển răng về vị trí như mong muốn. Đây là phương pháp tối ưu và được các chuyên gia nha khoa khuyên dùng bởi những tính năng ưu Việt mà nó mang lại.
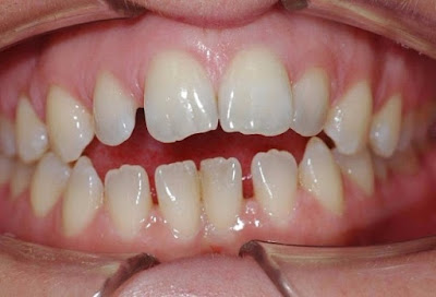
![]() |
| Giữa các răng có kẻ hở nhìn kém thẩm mỹ* |
- Đảm bảo tính thẩm mỹ lại không gây xâm lấn răng.
- Kỹ thuật niềng răng chỉ làm răng di chuyển theo đúng mong muốn trong phác đồ hỗ trợ điều trị của bác sĩ. Răng được dịch chuyển từng chút một để sát khít với nhau.
- Độ dịch chuyển này rất nhỏ, đến mức bạn không thể cảm nhận thấy. Nhờ thế, với mỗi đợt di chuyển xương hàm có thể thích nghi kịp thời, niềng răng hô có đau không bạn cũng không có cảm giác răng bị đau, hay yếu.
- Niềng răng không có bất cứ tác động nào khác đến răng cũng như nướu.
- Hiệu quả của niềng răng là lâu dài sau khi thao tác chỉnh hình hoàn tất.
Quy trình niềng răng thưa theo tiêu chuẩn
Tại trung tâm nha khoa, quy trình niềng răng thưa được thực hiện trong điều kiện vô trùng với các thao tác như sau:
![]() |
| Các bước niềng răng tại nha khoa* |
Bước 1: Bác sĩ thực hiện kiểm tra sức khỏe nha khoa, nhận diện nhược điểm răng thưa. Đồng thời kiểm tra tình trạng sức khỏe của khách hàng bằng một số xét nghiệm cơ bản.
Bước 2: Bác sĩ chụp X-quang để thấy rõ được tình trạng răng thưa của khách hàng. Đồng thời, thấy rõ hơn hệ thống mạch máu, dây thần kinh để tránh làm tổn thương chúng trong quá trình thực hiện.
Bước 3: Kết quả X-quang được gửi sang phòng Labo để kỹ thuật viên để tiến hành phân tích, sau đó lên kế hoạch chế tác mắc cài, khay niềng.
Bước 4: Sau khi đã xây dựng được khay niềng răng và mắc cài phù hợp các bác sĩ tiến hành thực hiện gắn các mắc cài niềng răng cho khách hàng. Bước này mất chừng 45 - 60 phút thực hiện.
![]() |
| Các loại khí cụ niềng răng tại nha khoa* |
Bước 5: Kết thúc quá trình thực hiện bác sĩ hướng dẫn cho khách hàng cách vệ sinh răng miệng hợp lý tại nhà. Đồng thời, chỉ cách vệ sinh khay niềng mắc cài và hẹn lịch tái khám để được các bác sĩ kiểm tra kết quả sau khi thực hiện.
Thực hiện quy trình niềng răng thưa giúp bạn tự tin hơn với hàm răng đẹp, đều, khít. Nếu có bất kỳ thắc mắc nào về dịch vụ này, bạn có thể liên hệ về trung tâm hoặc trực tiếp đến đây để được tư vấn miễn phí.



Đăng nhận xét